sábado, 28 de mayo de 2011
Día Internacional de Acción por la Salud de la Mujer
miércoles, 25 de mayo de 2011
Charla sobre Salud de la Mujer en la Cámara de Diputados
martes, 24 de mayo de 2011
Mamografía
Realizan campaña de mastografía gratuita
Por: PRIMITIVO GONZÁLEZ / EL SIGLO DE TORREÓN / LERDOEl cáncer de mama es un enemigo silencioso que se puede presentar a cualquier edad, pero sobre todo a partir de los 50 años, por ello todas las mujeres deben empezar a realizarse la autoexploración de la glándula mamaria desde los 20 años para identificar si hay alguna alteración. La Jurisdicción Sanitaria No. Dos, en coordinación con el sistema para el Desarrollo Integral de la Famlia (DIF) de Lerdo, realizan la campaña de mastografía gratuita a la población femenil del municipio.
Elizabeth Meredith de Carmona enfatiza la importancia que representa que las mujeres puedan tener a su alcance la posibilidad de realizarse estos importantes estudios para detectar de manera oportuna el cáncer de mama, buscando con esto la manera de evitar muertes de quienes lo padecen.
Su atención es una prioridad de las autoridades, y las acciones encaminadas para su control, tienen gran relevancia, para ello se requiere hacer más estudios y contar con espacios especializados, tanto para la prevención, detección, diagnóstico y tratamiento correspondiente.
Por tal motivo, la presidenta del DIF municipal agradece al secretario de Salud de Durango, Alejandro Campa Avitia, el haber enviado la Unidad Móvil de Mastografía, la cual estará ubicada por espacio de dos meses en el Centro de Salud "Dr. Roberto García Sosa" de esta ciudad, donde de manera gratuita se realizarán los exámenes a quien así lo solicite.
Por su parte, Jorge Augusto Pimentel Vázquez, titular de la Jurisdicción Sanitaria No.2, mencionó que esta enfermedad cuando inicia, no siempre significa la muerte, lo que sí es sinónimo de muerte es la ignorancia, la no prevención y detección tardía, por ello es trascendental que todas las mujeres aprendan la técnica de la autoexploración, además de acudir al doctor a tiempo ante cualquier signo de alarma que presente el cuerpo a fin de prevenir cualquier enfermedad.
Este tipo de problemas de salud, no es sólo tema de mujeres, sino de hombres y de la familia en general, por eso es importante que el hijo o el esposo recuerde a la mujer que se debe auto explorar y lo mismo, acudir a revisiones periódicas.
Como únicos requisitos para recibir la atención se pide que sean mujeres de 50 años en adelante o de 40 años o más que tengan antecedentes propios o de familiares.
fuente: El siglo de torreón
Hallan una proteína que podría generar nuevos tratamientos contra el cáncer de mama
Investigadores del Imperial College London, en Reino Unido, han identificado una nueva proteína implicada en el desarrollo de resistencias a fármacos en cáncer de mama, que podría convertirse en una diana para nuevos tratamientos. El descubrimiento se ha publicado este sábado en la revista 'Nature Medicine'.
En un modelo en ratones de cáncer de mama, estos científicos descubrieron que, bloqueando con técnicas genéticas la producción de una proteína denominada LMTK3 en células de cáncer humano resistentes al tamoxifeno, hizo que estas células se volviesen más sensibles a los fármacos y que el tumor se encogiese. Por ello, están buscando ahora nuevos fármacos que provoquen similares efectos en las personas.
Estos investigadores midieron también los niveles de LMTK3 en las muestras de tejido tomadas de mujeres con cáncer de mama. Descubrieron que las mujeres con mayores niveles de LMTK3 en sus tumores tendían a vivir menos tiempo y eran menos propensas a responder a la terapia hormonal. Además, vieron que mutaciones concretas en la codificación genética para LMTK3 también se correlacionaban con el tiempo que los pacientes podían sobrevivir.
Según uno de los autores principales de este estudio Justin Stebbing, profesor del Departamento de Cirugía y Cáncer del Imperial College London, "los fármacos anti-estrógenos han tenido mucho éxito en permitir a las mujeres con cáncer de mama vivir más tiempo, pero las resistencias a estos fármacos son un problema frecuente". "Nuestros resultados sugieren que la acción de LMTK3 en el receptor de estrógenos tiene un papel crucial en el desarrollo de resistencias", dice.
"Ahora estamos buscando fármacos que puedan bloquear el efecto de LMTK3, que podamos dar a los pacientes para prevenir la aparición de resistencias a la terapia hormonal. Este proceso probablemente tardará al menos entre cinco y diez años en dar lugar a nuevos tratamientos que sean seguros en seres humanos", advierte.
Evidencias halladas en el laboratorio sugieren que las resistencias a la terapia hormonal podrían aparecer cuando el receptor de estrógenos es modificado por un tipo de enzimas denominadas kinasas. Este equipo identificó LMTK3 como un potencial tratamiento dirigido a través de 'screening' por las kinasas que afecta a la manera en la que las células del cáncer responden a los estrógenos.
fuente: europa press
Granada contra el cáncer de mama
La concejal de Juventud, María Francés, que ha acudido a la presentación de este evento en el Hotel Palacio de los Patos, ha animado a todos los granadinos a participar en una iniciativa que, al margen de sus aspectos deportivos y lúdicos, servirá para “impulsar gran cantidad de acciones destinadas a la lucha efectiva contra el cáncer de mama, e informar sobre la importancia de la detección precoz de la enfermedad”.
Podrán participar en la carrera, con dorsal participativo, niños, jóvenes y adultos que deseen realizar el recorrido andando o corriendo, y con dorsal cero, quienes quieran apoyar la lucha contra el cáncer de mama con su aportación económica, pero sin hacer el itinerario propuesto.
El importe de ambos dorsales es de 5 euros, y se han previsto premios de material deportivo para las distintas categorías, ya se trate de absoluta, juvenil, júnior, veteranos u otras. La organización dispone además de 3.000 camisetas conmemorativas de la carrera, que se entregarán por orden de recogida hasta agotar existencias en el momento de la recogida del dorsal.
La salida estará situada en el centro cívico del Zaidín, en la avenida de Carlos V y está prevista a primera hora de la mañana, según informa el Ayuntamiento de Granada en un comunicado.
Un foro para la esperanza
La Ribera realiza la primera reconstrucción mamaria con tejido abdominal de la paciente en la misma mastectomía
El Hospital Universitario de La Ribera, en Alzira (Valencia), ha presentado este martes los resultados de la primera reconstrucción mamaria realizada en el centro mediante la técnica DIEP, con tejido del abdomen de la propia paciente y durante la misma intervención de extirpación del tumor.
El servicio de Cirugía Plástica del Hospital Universitario de La Ribera, José Mallent, y del jefe del Servicio de Oncología del centro hospitalario, José Miguel Cuevas, ha explicado los detalles de la intervención, que llevan a cabo pocos centros europeos en la actualidad. En el acto ha estado presente también el director general del hospital, Manuel Marín.
Se trata de un nuevo método de microcirugía que se realiza durante la misma operación de extirpación del tumor o mastectomía. La DIEP (Deep Inferior Epigastric Perforator) utiliza injertos de tejido y grasa, extraídos del abdomen de la propia paciente, sin necesidad de poner prótesis que, a la larga, pueden conllevar problemas. Foros científicos internacionales la recomiendan como la mejor técnica de microcirugía en estos casos, pero pocos centros hospitalarios europeos la incorporan debido a su dificultad técnica y costes.
El director gerente del centro, Manuel Marín, ha destacado la labor del Hospital de la Ribera en su lucha contra el cáncer: "no trabajamos solos, ni de una forma individual. Los cirujanos plásticos, los cirujanos de mama, los anestesistas, radiología, oncología estamos todos volcados para mejorar nuestros resultados contra esta enfermedad que es el cáncer. Hoy es un día bueno para todos, porque siempre nos ha caracterizado ser novedosos mirando siempre al paciente. Nuestra prioridad es conseguir un diagnóstico precoz y el mejor tratamiento".
El jefe de servicio de Oncología del Hospital Universitario de la Ribera, José Miguel Cuevas, se ha mostrado satisfecho con los resultados obtenidos y ha recordado las funciones de la unidad de Patología Mamaria contra el cáncer de mama, que afecta a unas 16.000 mujeres españolas, de las que 1.500 son valencianas.
El 82 por ciento de las mujeres afectadas no requieren una mastectomía completa, ha remarcado el doctor Cuevas, pero en estos pocos casos "la reconstrucción mamaria la tenemos en cuenta un mes antes de operar a la paciente. El cirujano plástico junto al resto de comité de mama decidimos el tratamiento. Algunas de las nuevas técnicas de reconstrucción mamaria están en entredicho pero los resultados que tenemos en nuestra unidad son maravillosos", ha indicado el especialista.
VENTAJAS DE LA TÉCNICA
El doctor José Mallent ha sido el responsable de incorporar esta novedosa técnica a los tratamientos del centro. Entre las ventajas que ha enumerado de la DIEP con respecto a los métodos tradicionales, es que el aspecto de la mama operado es mucho más similar al del pecho sano en cuanto a forma y caída, y además "evolucionará como lo haga el resto del cuerpo: engordará, adelgazará, envejecerá". De esta forma se evita la diferencia que las mamas reconstruidas con prótesis, provocaban a la larga, con respecto a las mamas sanas.
En la actualidad, se están realizando reconstrucciones TRAM con tejidos también del abdomen pero dañan los músculos de la zona. La técnica DIEP soluciona este problema ya que solo necesita de una arteria y una vena para ser compatible, lo que disminuye además el dolor postoperatorio, reduce el tiempo de recuperación y evita complicaciones como posibles hernias.
El Hospital de la Ribera estaba ya aplicando esta técnica pero de forma diferida, ahora da un paso adelante al realizarla en el mismo momento de la extirpación del tumor. María Salud Mellés, una mujer de 52 años de Algemesí, ha sido la primera paciente a someterse a este tipo de operación en la Ribera.
Mellés no ha querido perderse esta presentación y ha asegurado que la operación es "complicada pero para los doctores, a ti te duermen y no te enteras. Y cuando te despiertas tienes dos pechos. Estoy muy contenta porque puedo mirarme al espejo y ver mi aspecto normal". En este sentido, según los doctores, este tipo de intervención disminuye los daños psicológicos que puede producir en las mujeres.
DIFICULTAD TÉCNICA
Esta intervención puede durar hasta ocho horas y precisa de un equipo muy especializado. Comienza con el equipo de Cirugía General que se encarga de extirpar de la mama afectada el tumor, evitando al máximo las cicatrices. Simultáneamente, el equipo de Cirugía Plástica eleva la parte de la piel y grasa necesarias para la confección de la nueva mama, habitualmente extraídas de la parte baja del abdomen, desde el ombligo hasta el pubis. Posteriormente, se localizan los vasos arteriales y venosos perforantes y se unen a los localizados en el tórax, entre las costillas, para que el nuevo pecho tenga vascularización propia.
A este respecto, el doctor Mallen ha explicado: "las reconstrucciones inmediatas suponen un importante esfuerzo de organización interna, ya que en un mismo acto quirúrgico deben estar presentes dos equipos de cirujanos. Sin embargo, este esfuerzo se ve ampliamente recompensado ante al grado de satisfacción que estamos consiguiendo en nuestras pacientes"
En la actualidad, el Hospital de la Ribera realiza una reconstrucción diferida, en una segunda intervención después de haber sido extirpado el tumor, una vez por semana. Cada vez son más, si las circunstancias lo permiten, las que realizan simultáneamente.
jueves, 19 de mayo de 2011
Investigadores catalanes identifican un nuevo gen asociado al cáncer de mama
BARCELONA -
Un estudio internacional liderado por investigadores del Instituto de Investigación Biomédica de Bellvitge (Idibell) ha identificado un nuevo gen implicado en la susceptibilidad de sufrir cáncer de mama.
El estudio, publicado en la revista 'Breast Cancer Research and Treatment', ha analizado variantes genéticas del gen TNFRSF11A que codifica la proteína RANK y desempeña un papel fundamental en el proceso de desarrollo y diferenciación de las células del epitelio de la mama y en la iniciación de los tumores de mama.
Desde hace años se conocen dos genes --BRCA1 y BRCA2-- que, cuando están mutados, aumentan mucho el riesgo de sufrir cáncer de mama, a lo que hay que añadir los hallazgos de estudios recientes, que han identificado modificadores de la penetrancia de mutaciones de BRCA1/2 que también influyen en el riesgo de sufrir cáncer en la población general.
Concretamente, en el estudio los investigadores han visto que las portadoras de alelo menor de la variante genética rs7226991 tienen un riesgo reducido de padecer cáncer de mama, una asociación que se ha encontrado en pacientes esporádicas, de la población general, como casos familiares de portadoras de mutaciones en el gen BRCA2.
El objetivo del grupo de investigación de Transformación y metástasis es incluir esta nueva información genética en los algoritmos de decisión que se usan en las unidades del consejo genético para mejorar el seguimiento de las pacientes con alta predisposición a sufrir cáncer.
En el estudio han participado el Institut Català d'Oncologia (ICO), el Centro Nacional de Investigación Oncológica (CNIO), el Instituto de Oncología de Vall d'Hebron (VHIO), el Hospital de Sant Pau, el Hospital Universitario Miguel Servet de Zaragoza, el Clínico San Carlos de Madrid y otros centros de Israel e Italia.
fuente: (EUROPA PRESS)
El diagnóstico precoz y las muchas curaciones, claves es la lucha contra el cáncer de mama
MADRID
El cáncer de mama es el "paradigma del diagnóstico precoz y preciso y de las dianas terapéuticas" y este "viaje" es "una travesía desde la detección temprana hasta las muchas curaciones que hay, pasando por su tratamiento individualizado", según ha indicado el responsable del área de Salud de El Mundo y subdirector del mismo, el doctor José Luis de la Serna, durante su intervención en las II Jornadas Viaje a través del cáncer de mama.
La iniciativa, organizada por Yo Dona y El Mundo en Madrid, con la colaboración de HM Hospitales y la Asociación Española Contra el Cáncer (AECC), ha concluido que, en la lucha contra el cáncer de mama, son "claves fundamentales" la prevención, el diagnóstico precoz, el tratamiento integral y multidisciplinar en unidades de mama específicas, el adecuado seguimiento de la enfermedad, el control de los efectos colaterales y el apoyo de familia y entorno social.
En esta línea, la adjunta a la presidencia de HM Hospitales, la doctora Carmen Cidón, ha destacado "lo mucho que este grupo hospitalario sabe de la fortaleza de las mujeres, porque tiene un componente mayoritariamente femenino y vemos a diario la valentía y coraje con el que todas afrontan el trabajo, la familia y todo lo que tengan que afrontar".
Por su parte, la presidenta de la Comunidad de Madrid, Esperanza Aguirre, clausuró la jornada lanzando un mensaje de optimismo y esperanza y haciendo un llamamiento a todas las mujeres sobre la importancia de la prevención precoz para diagnosticar a tiempo esta enfermedad. "El cáncer es una enfermedad tan curable como cualquier otra, pero como cursa sin síntomas, si se descubre tarde es más difícil de curar", ha explicado.
En la misma línea positiva, Aguirre llamó la atención sobre el "elevado" porcentaje de casos que se curan --más de la mitad de los que se diagnostican-- y la posibilidad de paliar los síntomas "de casi todos ellos". Para ello, "es muy importante que el paciente disponga de la información necesaria y que confíe en su médico". Asimismo, ofreció datos para avalar que la Comunidad de Madrid "dispone de los mejores profesionales y medios para el diagnóstico y tratamiento de este tipo de cáncer".
Mientras en Europa mueren 22 de cada 100.000 habitantes por esta causa, en España son 18 y en la Comunidad de Madrid, 17 de cada 100.000, según las cifras expuestas por la presidenta regional. Igualmente, gracias a los programas de diagnóstico precoz puestos en marcha en esta región, 155.000 mujeres se exploraron en 2010, diagnosticándose 839 tumores de mama, el 70 por ciento de los cuales se detectaron en fase inicial, ha apuntado.
Respecto a los temas abordados durante la jornada, la primera parte se centró en los aspectos médicos del cáncer de mama, enfermedad maligna más frecuente entre la población femenina, empezando por el papel "crucial" de la radiología en el diagnóstico de la patología.
"Es muy importante promover el tratamiento de esta enfermedad en unidades de mama que funcionen con estructuras horizontales y favorezcan la coordinación entre los diferentes especialistas que participan en el abordaje de la enfermedad", ha destacado la doctora Cristina Miró, de la Unidad de Radiología de la Mujer del Centro Integral Oncológico Clara Campal, anexo al HMS.
En cuanto a la segunda mesa redonda, se han analizado los efectos colaterales derivados de la enfermedad y la importancia de las revisiones en el seguimiento de ésta, de cuyos mitos y realidades habló la doctora Montse Muñoz, de la Unidad de Oncología Médica del Hospital Clínic de Barcelona.
fuente: , (EUROPA PRESS) -
las mamografías reducen hasta un 30 por ciento la mortalidad por cáncer de mama en España
MADRID, 18 May. (EUROPA PRESS) -
El 'screening' de cáncer de mama con mamografía ha conseguido disminuir la mortalidad por esta enfermedad entre un 20 y un 30 por ciento de los casos, siendo la cuota de curación del 90 por ciento, si a una mujer se le diagnostica la patología en un estado inicial.
La presidenta de la Sociedad Española de Diagnóstico por Imagen de la Mama (SEDIM), la doctora Marina Álvarez Benito, advierte de que, "anualmente, se calcula que se diagnostican alrededor de un millón de casos nuevos en el mundo". En España los datos señalan que el cáncer de mama es la principal causa de cáncer, con 15.000 casos anuales, y de mortalidad por cáncer en la mujer.
Así, explica esta experta, "la probabilidad de que una mujer española padezca esta enfermedad antes de los 80 años es del 6 por ciento, de ahí que 1 de cada 15 ó 20 mujeres españolas desarrollará un cáncer de mama a lo largo de su vida".
Por este motivo, Álvarez afirma que el diagnóstico precoz a través de la realización de mamografías periódicas es actualmente "el arma más importante para frenar los efectos de esta enfermedad".
"Actualmente más de 90% de mujeres diagnosticadas en estadio inicial de cáncer de mama superan la enfermedad", añade, al tiempo que señala que además de disminuir la mortalidad por cáncer de mama, el diagnóstico precoz a través de la mamografía se acompaña de otros beneficios importantes, como la aplicación de tratamientos menos agresivos que la mastectomía.
Al respecto, explica que la cirugía conservadora o la realización de biopsia selectiva de ganglio centinela (BSGC), "mejora de forma considerable la calidad de vida de las mujeres diagnosticadas de cáncer de mama, evitando efectos adversos de otros tratamientos más agresivo y posibilitando que, hasta un 70 por ciento de las mujeres que actualmente se diagnostican de cáncer de mama en estadio inicial puedan tratarse preservando la mama".
RIESGO GENÉTICO
Para tratar este y otros temas, desde este jueves y hasta el sábado se reúne en Marbella (Málaga) unos 300 médicos especialistas del país dedicados al diagnóstico por la imagen de la mama en el XII Congreso de la SEDIM.
En esta ocasión cuentan con un completo programa científico en el que se contemplarán los métodos clásicos en el diagnóstico de esta patología, como la mamografía o la ecografía mamaria, métodos más novedosos, y que han mostrado un gran impacto en el manejo del cáncer de mama, como la resonancia magnética.
Durante el encuentro se va a presentar un estudio de pacientes con riesgo incrementado de cáncer de mama, fundamentalmente mujeres con riesgo genético para padecer la enfermedad. En estos casos, Álvarez destaca que es importante identificar bien a estas mujeres, y realizar un seguimiento específico para diagnosticar el cáncer de mama lo antes posible.
"Estos métodos de imagen son importantes no sólo para conseguir un diagnóstico precoz de la enfermedad, sino para mostrar otras características en las pacientes diagnosticadas de cáncer de mama que permitan elegir el tratamiento más efectivo en cada caso", concluye.
fuente: eurpa press
El Hospital del Bierzo implanta el ganglio centinela en la cirugía de mama

El Hospital del Bierzo acaba de implantar la técnica conocida como la del Ganglio Centinela en la cirugía contra el cáncer de mama. El servicio de cirugía general del primer centro asistencial berciano ha realizado las primeras intervenciones quirúrgicas de este tipo en dos mujeres y el resultado ha sido todo un éxito.
Los efectos prácticos y beneficiosos que aporta esta técnica, implantada también en otros centros hospitalarios, consiste en ahorrarse el vaciado de los ganglios de la axila de la mujer afectada por el cáncer de mama hasta en un 70% de los casos. De esta forma, también se contribuye a eliminar los problemas secundarios que sufren muchas pacientes tras la intervención quirúrgica.
La técnica del Ganglio Centinela aporta la posibilidad de cambiar la estrategia a utilizar en la cirugía del cáncer de mama. Los médicos la consideran «una solución conservadora» frente al tradicional vaciamiento de la axila.
Esta técnica se utiliza en determinados estadios de desarrollo del cáncer, y por eso, desde la gerencia del Hospital del Bierzo que lleva Alfonso Rodríguez Hevia, y también desde la dirección médica del centro que lleva la doctora Rosario González Sanjuán, calculan que entre 70 y 80 mujeres de la comarca podrían beneficiarse al año con este avance.
El ganglio centinela es el principal ganglio linfático que recibe el drenaje de un tumor cancerígeno. Al saber esto los médicos, la técnica de la biopsia del ganglio centinela permite predecir con eficacia el estado de propagación o diseminación linfática del tumor en la zona de la mama y sus proximidades. De esta forma, la biopsia selectiva que se lleva a cabo se usa para ahorrarse lo que hace años era un vaciado preventivo casi generalizado de los ganglios, incluidos los que podrían estar aún en perfectas condiciones. Es decir, ahora se actúa sólo allí donde existe tumor cancerígeno de mama. Esto permite a las pacientes reducir de manera considerable el tiempo de recuperación tras la operación.
La directora médica Rosario González explicaba ayer que, antes, a la paciente tenían que quitarle los ganglios de la axila, dado que es donde drenan las células tumorales para evitar la propagación del tumor cancerígeno de mama: «Esta técnica permite saber en cuáles han llegado las células cancerígenas a los ganglios de la axila y en cuáles no para extirparlos».
fuente: diario León
Implantes mamarios, aprenda a elegirlos
El tamaño de la prótesis y la técnica de la cirugía no se puede definir sin analizar la paciente. En todas no se usa el mismo.Qué Es Y Por Qué Se Produce El Cáncer De Mama
El número de fallecimientos se ha duplicado en los últimos 20 años, siendo en los países desarrollados donde la mortalidad es más alta. Más de la mitad de los casos se diagnostican en países desarrollados, como Europa y estados Unidos. Mientras que los países con menos incidencia son Japón, Nigeria y la india.
Las mamas de la mujer están formadas por unas glándulas que se denominan lóbulos y lobulillos. Estas glándulas están conectadas entre si mediante unos conductos que son por donde circula la leche hacia el pezón.
El cáncer de mama se produce cuando las células de la mama crecen de forma anormal y desordenada, pudiendo dañar otros órganos del cuerpo.
Los factores de riesgo son muchos y dependen de cada mujer. Pero los principales factores son: ser mujer, es uno de los factores más importantes, y los estrógenos. Su incidencia se incrementa con la edad, llegándose a contrastar entre cada país. Mientras que en algunas partes se presenta sobre los 60, en otras, entre los 40 y 45 años.
Como se ve, la exposición a los estrógenos durante toda la vida de la mujer puede ser un factor de riesgo importante, por lo que se relaciona el cáncer de mama con el estado hormonal:
- Por el inicio de una menstruación muy temprana
- Al término de la menstruación, después de los 55 años.
- Con la nuliparidad.
- En embarazos con edad avanzada.
Estos son los estados donde se producen aumentos en los niveles de estrógenos en la mujer.
Para la detección del cáncer de mama es muy importante una autoexploración y un examen clínico, aunque la prueba más segura es la llamada mamografía. Cada una de ellas merece una atención especial, ya que si el cáncer es detectado en edad temprana, hay muchas mas posibilidades de una curación total y del ahorro de sufrimiento por parte de la mujer.
Tipos De Cáncer De Mama
En la mama de la mujer se producen mucha clase de tumores, aunque no todos son malignos.
La mayoría de los tumores benignos tienen relación con factores genéticos. Pueden producir inflamación o dolor, pero no invaden otros órganos.
Los tumores malignos están en función del lugar de la mama donde se localice el crecimiento anormal y de su grado de invasión.
Según esto, existen dos tipos principales de cáncer de mama:
a. Carcinoma ductal: es el más común y se produce en las células de los conductos que conducen la leche hacia el pezón.
b. Carcinoma lobular: comienza en los lóbulos o lobulillos.
Pocas veces el cáncer se origina en otras áreas de la mama.
Y dependiendo de su grado de invasión tenemos:
a. Carcinoma in situ, si permanece dentro del conducto o lóbulo.
b. Carcinoma infiltrarte o invasivo, si se ha propagado a otros tejidos.
Luego sabiendo esto tendríamos la siguiente clasificación:
1. Carcinoma ductal in situ: también llamado carcinoma intraductal. Se origina en las paredes de los conductos. Es el más común entre los no invasores. Las probabilidades de curación son muy altas, mediante extirpación, por ejemplo. Si no se cura a tiempo, puede hacerse invasivo.
2. Carcinoma ductal infiltrante o invasivo: se origina en el conducto mamario, atravesándolo y pasando a otros tejidos de la mama, pudiendo invadir otros órganos del cuerpo. Es el tipo decáncer de mama más frecuente.
3. Carcinoma lobular in situ: se origina en los lóbulos o lobulillos de la mama sin llegar a invadirla. Aunque no es muy peligroso, cuando es detectado, la mujer tiene que realizar pruebas de previsión durante el año para que no se desarrolle.
4. Carcinoma lobular infiltrante o invasivo: se origina en las glándulas mamarias, pero puede expandirse y destruir otros órganos del cuerpo. Es muy difícil su detección por mamografía.
5. Carcinoma inflamatorio: es poco frecuente. Es agresivo y crece rápidamente. Los síntomas que aparecen son enrojecimiento de la piel del seno y aumento de su temperatura. Las células con cáncer bloquean los vasos linfáticos.
¿Cómo Podemos Prevenir El Cáncer De Mama?
2. Familiarícese con sus senos a través de autoexámenes de los senos. Con un autoexamen de los senos no se puede prevenir el cáncer de mama, pero puede ayudar a entender mejor los cambios normales que sus senos se someten e identificar los signos y síntomas inusuales.
3. Limite la cantidad de alcohol que se consume a menos de una bebida al día, si usted decide beber.
4. Realice ejercicio casi todos los días de la semana. Por lo menos 30 minutos de ejercicio casi todos los días de la semana. Si usted no ha estado activo últimamente, pregunte a su médico si está bien y empezar poco a poco.
5. Evite la terapia hormonal postmenopáusica. La terapia de combinación de hormonas puede aumentar el riesgo de cáncer de mama. Hable con su médico acerca de los beneficios y riesgos de la terapia hormonal.
6. Mantenga un peso saludable. La obesidad es un factor de riesgo para el cáncer de mama, consulte a su médico acerca de las estrategias saludables para lograr de bajar de peso.
7. Duerma 8 horas diarias. Las personas que duermen 8 horas diarias tiene menos riesgo de padecer cáncer.
8. Evite el cigarrillo. Fumar tanto en forma pasiva como en forma activa se han relacionado con un mayor riesgo de cáncer de mama.
9. Aumente el consumo de antioxidantes y de omega -3. Ya que se ha relacionado con un factor de protección para el cáncer de mama y la disminución de los niveles de colesterol HDL.
10. La medicina alternativa para la fatiga. Muchos sobrevivientes de cáncer de mama experimentan fatiga durante y después del tratamiento que pueden continuar por años. No se sabe qué causa la fatiga relacionada con el cáncer y puede persistir a pesar del tratamiento y aumentar el riesgo de recidivas.
Sería recomendable que comente a su médico acerca de estas alternativas:
■ Ejercicios suaves. Considere la posibilidad de caminar, nadar, yoga o Tai chi.
■ Controlar el estrés. Tome el control del estrés en su vida diaria. Intente las técnicas de reducción del estrés como la relajación muscular, la visualización y pasar tiempo con amigos y familiares. Para esto se pudiera ayudar con el uso de productos naturales como el Dr. Relax-Pro.
■ Estrategias de relajación. Trate de escuchar música, escribir en un diario, la meditación o tomar un baño caliente.
Si su médico ha evaluado sus antecedentes familiares y otros factores y determinó que es posible que tenga un mayor riesgo de cáncer de mama, las opciones para reducir su riesgo incluyen:
■ Medicamentos preventivos (quimioprofilaxis). Bloqueador de estrógeno medicamentos ayudan a reducir el riesgo de cáncer de mama.
■ Cirugía preventiva. Las mujeres con un riesgo muy alto de cáncer de mama pueden elegir la extirpación quirúrgica de sus senos saludables (mastectomía profiláctica).
¿Puede el ciclo menstrual afectar los resultados de la mamografía?

En algunos casos, cuando aparecen bultos en alguno de los pechos o alguna anormalidad el médico recomienda que te hagas una mamografía.
La mamografía es un tipo especial de radiografía que se realiza en los senos, que permite detectar tumores mucho antes de que tengan el tamaño suficiente para ser percibidos al tacto.
Como toda radiografía, las mamografías emiten lo que se denomina radiaciones, que pueden ser perjudiciales para la salud. Aunque la cantidad de radiaciones a las que se expone una mujer durante una mamografía es relativamente baja, por un lado las mujeres menores de 40 años podrían ser un poco más susceptibles a las radiaciones que las mujeres mayores de 50 años. Pero aún más importante. Los senos de las mujeres menores de 40 años tienden a tener tejidos muy densos y las mamografías generalmente no proporcionan buena información.
Por estas razones en mujeres menores de 40 años se tienden a utilizar estudios de resonancia magnética o el ultrasonido que no emiten radiaciones y que proporcionan mejor visualización a esta edad. Y en mujeres a partir de los 40 y especialmente a partir de los 50, las mamografías aportan mayor beneficio con menor riesgo aunque, en ocasiones, se hacen también ultrasonidos. La frecuencia de los controles cada 1 o 2 años depende de la recomendación del médico. En Estados Unidos hubo una controversia recientemente al respecto. La Sociedad Americana Contra el Cáncer sigue recomendado que sea anualmente. En lo que todos los expertos están de acuerdo es que entre antes se detecte un cáncer, más sencillo puede resultar su tratamiento.
Estos consejos no son nuevos, pero si hay un factor que puede cambiarlo todo: ¿Qué tanto influye el momento en que te haces la mamografía? ¿Hay algún momento que sea mejor para que te hagas este examen? Todo parece indicar que sí. Estudios recientes demuestran que si te haces la mamografía durante la primera semana de tu ciclo menstrual, el resultado es mucho más preciso.
Una de las razones podría ser que el resultado varía de acuerdo a la densidad de los tejidos de las mamas, que durante esa semana serían menos densos que en las siguientes. Por este mismo motivo, algunos especialistas consideran que las mamografías son menos precisas en las mujeres jóvenes que en las mayores, aunque todavía se están desarrollando investigaciones sobre este tema, para obtener datos más exactos.
De todas maneras, tengas la edad que tengas, es importante que consultes a tu médico al menos una vez al año un examen ginecológico.
Recuerda que los factores que aumentan el riesgo de desarrollar cáncer del seno o cáncer de mama son los siguientes:
- La edad (las probabilidades aumentan a medida que envejeces).
- Los genes o la herencia (es el caso de Carolina: si tienes antecedentes familiares de cáncer de mama o de ovario, debes realizarte pruebas periódicas).
- Haber tenido la primera menstruación antes de los 12 años o la menopausia después de los 55.
- La presencia de un bulto en el seno.
- Un cambio del tamaño o forma del seno.
- Secreciones por el pezón.
Imágen © iStockphoto.com / Piotr Marcinski
La verdad detrás del aumento de seno

Cuando una mujer está en el proceso de tomar la decisión de aumentarse el busto, son muchas las preguntas que se hace: ¿puedo tener hijos luego de un implante? ¿pierdo la sensibilidad en el área cuando el implante se coloca por la aureola? ¿podré lactar a mis hijos?
Antonio Busquets -cirujano plástico y el primer puertorriqueño en ser aceptado en el programa de cirugía plástica y reconstructiva de Emory University- señala que existen muchas ideas falsas acerca de este procedimiento. Por ejemplo, es importante que la mujer sepa que un implante no creará ninguna complicación en un embarazo futuro. Sin embargo, debe ser consciente de que luego del embarazo el busto se cae, aún con el implante, por lo que seguramente la paciente deberá volver al quirófano para colocar un implante nuevo.
Uno de los mitos es la pérdida de la sensibilidad en la aureola y la imposibilidad de lactar luego de una operación de este tipo. A lo que Busquets responde que existe un 1% de probabilidad de pérdida de sensibilidad y que no existen problemas para lactar luego de la intervención quirúrgica.
Diferentes métodos
Busquets explica que comúnmente el implante se coloca por la axila, por la aureola o por debajo del seno. En el primero de los métodos no quedan cicatrices en los senos, pero la recuperación puede tomar más tiempo, además de que el tamaño de implante no debe ser muy grande.
Por otra parte, cuando se coloca a través de la aureola hay que ver que esta tenga las medidas adecuadas para que el implante entre sin problemas. En este método la incisión es de unos tres centímetros y es más recomendable para mujeres que ya tienen las medidas adecuadas para que quepa el implante.
En mujeres que no han tenido hijos, Busquets recomienda colocar los implantes por debajo del seno.
“Para las damas que sólo desean aumentar su busto podemos acomodarlo de forma endoscópica por la axila, sin cicatriz visible. El implante se puede colocar detrás del músculo pectoral, debajo del seno o en una combinación de ambos. La cirugía es ambulatoria, así que por lo general, la mujer puede regresar a su rutina diaria en aproximadamente una semana”, explica el médico con oficina en Capitolio Plaza , frente al muelle de San Juan.
El experto usualmente aumenta una copa o copa y media, como máximo, porque sino se estiraría demasiado la piel. Además, aconseja mantener el área bien hidratada para evitar las estrías.
Los beneficios del silicón
Aunque en 1992 la Food and Drug Administration sacó del mercado los implantes de silicón por considerarlos perjudiciales a la salud, en 2006 se lanzó un nuevo modelo que contenía un silicón más cohesivo o espeso que minimizaba los riesgos. Desde entonces, le hacen la competencia a la solución salina.
El cirujano plástico comenta que el implante de silicón ‘gel’ luce más natural que el de salina y a su vez, es más agradable al tacto.
En aumento
La operación de aumento de seno es una de las más comunes entre mujeres jóvenes de 30 a 39 años.
El estudio más reciente de la Sociedad Americana de Cirujanos Plásticos (ASPS, por sus siglas en inglés) reveló que en 2010 las operaciones de aumento de seno tuvieron un incremento de un 2% comparado con el 2009, para un total de 296,203. Un 15% de ellas se realizaron en la Región 3, en la misma que se contabilizan las cirugías y procedimientos cosméticos que se hacen en Puerto Rico.
Según es estudio de ASPS, el costo promedio de una cirugía de aumento de busto en Estados Unidos y Puerto Rico es de $3,351.
fuente: el nuevo día
Aumento Mamario
Aumento de pecho
Varias mujeres alrededor del mundo han conseguido sentirse mejor consigo mismas y socialmente aceptadas después de haberse sometido a una cirugía de pechos , pero, es importante recalcar que esta es una decisión absolutamente personal, ya que puede ser que algunas personas a tu alrededor no se aprueben tu decisión respecto a una cirugía plástica como esta.
Una cosa obvia es que la imagen corporal mejorada incrementa la confianza y la autoestima en cualquier ser humano, lo que puede traerte más seguridad tras la operación.Hay tres tipos de cirugía de mamas, la primera que mencionaremos es la cirugía de aumento mamario o mamoplastia de aumento, que es como llaman los médicos.Se trata de un procedimiento quirúrgico para mejorar el tamaño y forma del busto de una mujer que piensa que su talla de pecho es muy pequeña.Otro procedimiento es la mamoplastia de reducción en que se corrige el tamaño de las mamas demasiado grandes y pesadas.Las candidatasPodemos decir que las candidatas ideales para este tipo de cirugías plásticas son las mujeres que quieren mejorar su apariencia personal a través de una cirugía plástica .
Y la operación de pechos es segura?Sí La mamoplastia de aumento es un procedimiento seguro, aunque como toda cirugía requiere ciertos cuidados por parte del paciente. El objetivo es embellecer el tamaño de los pechos sin dejar cicatrices visibles.
Puede ser entre una o dos horas y entre las primeras 48 horas después de la intervención, las pacientes muestran cansancio y, lógicamente, cierto dolor. Sin embargo, esto desaparece con analgésicos comunes recetados por el médico.
Después de la operación tienes que usar un vendaje por un par de días y luego hay que utilizar un brassiere especial.
Los puntos de la herida se retiran aproximadamente a los 10 días, pero la inflamación puede durar entre 3 y 5 semanas. De seguir con rigor las indicaciones, la paciente de una cirugía de mamas podrá volver a sus actividades en poco tiempo.miércoles, 18 de mayo de 2011
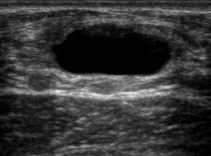
Quiste Simple de Mama
Caso Clínico- .-No poseer ningún eco interno
- .-Su forma debe ser redonda u oval
- .-Debe ser de contornos lisos
- .-debe tener refuerzo acústico posterior.