skip to main
|
skip to sidebar
Buscar en esta Enciclopedia
miércoles, 11 de mayo de 2011
Quiste Simple de Mama
Quiste Simple de Mama
Radiodiagnostico
Autor: O. Guillermo Guillermo H.
No hay comentarios:
Publicar un comentario
Entrada más reciente
Entrada antigua
Inicio
Suscribirse a:
Enviar comentarios (Atom)
Certificado de Calidad
Nosotros subscribimos los
Principios del código HONcode
.
Compruébelo aquí.
Translate
Suscribirse a
Entradas
Atom
Entradas
Comentarios
Atom
Comentarios
Senología
La Senología y sus Objetivos
Información y consejos para pacientes
Ir a la pagina principal
Enciclopedia de Senología GG
Sobre Nosotros
¿Quienes Somos?
Normas del Blog
Contacto
Envía un Comentario
Enlaces de Interés
Visitantes a nuestra web
www.casino--games.us
Visitas Último Mes
Otros de Interes
Agenda Científica
......................
Beca Formación Investigación
.
Cine
..
...........................................
Conferencias
.............................
Congresos
.................................
Cursos
.......................................
Imagenes Senologicas
............
Jornadas Científicas
...............
Libros Senologicos
.................
Presentaciones Slider
..........
Publicaciones
Dr. O. Guillermo Guillermo H.
Reuniones
...........................
Videos Senologicos
................
En esta enciclopedia encontraras:
Información y Consejo para Pacientes
........................
Ácido Hialurónico
....................
Anatomía de la Mama
...............
Biología Molecular
...............
Diagnostico Precoz
.............
Cáncer Mama
..........................
Cirugia Mamaria
..........................
Ecografía Mamaria
..............
Ganglios
..................................
Innovación Senologica
.........
Implantes Mamarios
..............
Lactancia Materna
................
Legal
......................................
Linfedema
..........................
Mamografía
............................
Metástasis
............................
Noticia Senologicas
..............
PAAF
...................................
Patologías Mamarias
..............
Psicooncologia
...........................
Publicación Dr. O. Guillermo Guillermo H.
.........................
Publicaciones en Congresos
..
Quimioterapia
.........................
Radiodiagnostico
.....................
Radioterapia
............................
Sociedad y senología
...............
Sensacionalismo y las mamas
Sujetadores
.............................
Terapia Adyuvante
...................
Unidad de Mama
......................
Senología por Especialidad
Anatomia Patologica
....
Biología Molecular
............
Cirugía
....................... .......
Fisioterapia y Rehabiliracióna
..
Genética
............................
Ginecología
.................... ...
Medicina Nuclear
.............
Oncología Médica
....................
Oncología Radioterápica
Psicología
......................
Radiodiagnóstico
................. ....
Enfermería y Técnicos
Patologías Mamarias
Absceso Mamario
.....................
Asimetría Mamaria
..............
Cáncer de Mama
....................
Densidad Mamaria
..............
Ginecomastia
.............................
Quiste de Mama
......................
Mastitis
..........................................
Mastodinia
.................................
Entradas populares
TUBÉRCULO DE MORGAGNI / TUBERCULOS DE MONTGOMERY
TUBÉRCULO DE MORGAGNI / TUBERCULOS DE MONTGOMERY Son estructuras anatómica corpusculares situadas en las areolas que guardan intima...
Quiste Simple de Mama
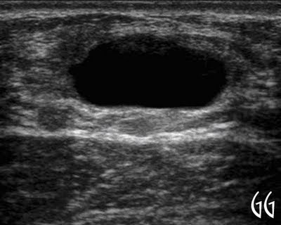
Caso Clínico Mujer de 27 años de edad, acude a consulta con historia de bulto en mama izquierda de aproximadamente 15 días de evolución,...
En Galicia se diagnóstican 3 cáncer de mama al día
Un total de mil cánceres de mama son diagnosticados anualmente en Galicia, lo que supone una media de 3 al día. No obstante, el 80 por cient...
Información sobre la Ecografía de mamaria
¿Que es la Ecografía Mamaria? Es el uso de ondas sonoras ultrasónicas (sonidos que los humanos no pueden escuchar) para producir una imagen...
Las glándulas de Montgomery
En las literaturas médicas podemos señalar otros nombres como protuberancia de Morgagni/Montgomery , tubérculo Morgagni / montgomery , furún...
La historia de Eva Ekvall, la miss que venció a un cáncer de mama y que hoy lucha por la prevención de la enfermedad
Eva Ekvall fue Miss Venezuela en el año 2000 pero un cáncer cambió su vida, y ahora cuestiona la utilización de la salud como medio para lo...
Anatomía de la Mama
Haremos una revisión a toda la anatomía que guarde relación con la mamas, base importante para su interpretación. El armazón esquelético de...
La radioterapia selectiva en los ganglios linfáticos es bien tolerada tras la cirugía
EN PACIENTES CON CÁNCER DE MAMA PRECOZ La radioterapia selectiva en los ganglios linfáticos es bien tolerada tras la cirugía Las pacientes ...
GINECOMASTIA
Ginecomastia es un término medico que viene de la palabra griega usada para definir "mamas similares a las de la mujer". Es e...
Existen anormalidades en los pezones que requieren de un cirujano plástico.
Nos ilustra sobre el tema el Dr. Rubén Espínola,. -¿Qué tipo de anormalidades en cuanto a su forma pueden presentar los pezones en la mujer?...
Archivo de publicaciones
►
2018
(1)
►
septiembre
(1)
►
2017
(2)
►
octubre
(1)
►
abril
(1)
►
2016
(4)
►
julio
(1)
►
abril
(3)
►
2015
(12)
►
diciembre
(2)
►
septiembre
(3)
►
junio
(7)
►
2014
(65)
►
agosto
(9)
►
julio
(16)
►
junio
(5)
►
mayo
(2)
►
abril
(14)
►
marzo
(15)
►
febrero
(1)
►
enero
(3)
►
2013
(88)
►
diciembre
(4)
►
noviembre
(9)
►
octubre
(4)
►
septiembre
(6)
►
agosto
(1)
►
julio
(4)
►
junio
(17)
►
mayo
(12)
►
abril
(10)
►
marzo
(8)
►
enero
(13)
►
2012
(78)
►
diciembre
(3)
►
noviembre
(16)
►
octubre
(13)
►
agosto
(23)
►
junio
(8)
►
mayo
(5)
►
abril
(1)
►
marzo
(7)
►
enero
(2)
▼
2011
(480)
►
diciembre
(19)
►
noviembre
(27)
►
octubre
(11)
►
septiembre
(2)
►
agosto
(31)
►
julio
(46)
►
junio
(58)
▼
mayo
(64)
Día Internacional de Acción por la Salud de la Mujer
Charla sobre Salud de la Mujer en la Cámara de Dip...
Mamografía
Hallan una proteína que podría generar nuevos trat...
Granada contra el cáncer de mama
Un foro para la esperanza
La Ribera realiza la primera reconstrucción mamari...
Investigadores catalanes identifican un nuevo gen ...
El diagnóstico precoz y las muchas curaciones, cla...
las mamografías reducen hasta un 30 por ciento la ...
El Hospital del Bierzo implanta el ganglio centine...
Implantes mamarios, aprenda a elegirlos
Qué Es Y Por Qué Se Produce El Cáncer De Mama
Tipos De Cáncer De Mama
¿Cómo Podemos Prevenir El Cáncer De Mama?
¿Puede el ciclo menstrual afectar los resultados d...
La verdad detrás del aumento de seno
Aumento Mamario
Quiste Simple de Mama
Las mamografías han reducido el 30% las muertes po...
Autoexploración de mama, una oportunidad de contro...
Buenas políticas públicas frenan al cáncer de mama
Corte de Costilla (DIEP)
Absceso Mamario
Absceso Mamario
Unidad de Patología Mamaria
Historia de la Senología
Quiste Simple de Mama
Ginecomastia
Experto italiano destaca la importancia de la dete...
COMESAMA, el mejor regalo para mamá: detección opo...
Toma de posesión de la nueva mesa directiva de Aso...
Tendrá Tamaulipas clínica especializada contra cáncer
Postergar la maternidad aumenta el riesgo de cánce...
Marea Rosa en Madrid COntra el cáncer de Mama
Hay déficit de mastrógrafos y especialistas de dia...
El diagnóstico precoz, clave es la lucha contra el...
La edad de 50 años para la primera mamografía es u...
Las guías sobre mamografías preventivas en Estados...
El consumo de café reduce el riesgo de un tipo de ...
La orientación sexual puede afectar a la supervive...
Las mamografías disminuyen hasta un 30% la mortali...
Nueva información genética sobre la susceptibilida...
El tratamiento para el cáncer de mama – The Cure
menor exposición a estrógenos menor riesgo de cánc...
El hospital de Burela contará con una unidad fija ...
Llega a Madrid la Carrera de la Mujer 2011 contra ...
Reconocimiento a la Senologa Ana Lluch
La talla del sujetador
Implicación del Cirujano Plástico en las Unidades ...
Ecografía Mamaria en Atención Primaria
Curso de Radiología básica de la mama
Curso Errores a Evitar en Senología
Detección temprana de cáncer de mama, favorece tra...
Cirugía Plástica del Hospital General de Alicante ...
Empieza a funcionar la unidad de cáncer de mama de...
Las dos unidades de mamografías del SES atenderán ...
jornada médica para prevenir el cáncer de mama
Prevención, clave en el tratamiento contra cáncer
Hallado el vínculo entre el cáncer de mama y los a...
El Meixoeiro estrena cirugía de mama que reduce lo...
Curso de Ecografía / Sonografía Mamaria
Sin título
Diagnóstico precoz, tratamiento integral y multidi...
►
abril
(48)
►
marzo
(78)
►
febrero
(67)
►
enero
(29)
►
2010
(124)
►
diciembre
(10)
►
noviembre
(5)
►
octubre
(14)
►
septiembre
(1)
►
agosto
(16)
►
julio
(44)
►
junio
(3)
►
mayo
(2)
►
abril
(22)
►
marzo
(2)
►
febrero
(2)
►
enero
(3)
►
2009
(5)
►
noviembre
(5)
►
2008
(20)
►
noviembre
(20)
Seguidores
Etiquetas
Anatomia patologica
Cancer de mama
Cirugia
Cirugia mamaria
Contacto
Ginecologia
Jornadas
Mastitis
PAAF
Publicación Dr. O. Guillermo Guillermo H.
Reunion
Terapia adyuvante
acupuntura
agenda cientifica
anatomía de la mama
articulo de interes
asimetría mamaria
autoexploración mamaria
becas formacion investigación
biologia molecular
biopsias
cine
cirugía plastica
conferencias
congresos
cursoECOgg
cursos
densidad mamaria
diagnostico precoz
ecografia mamaria
enfermeria y tecnicos
enviar comentarios
fisioterapia
ganglios
genetica
ginecomastia
glosario de termino senologico
imagenes senologicas
implantes mamarios
información y concejo para pacientes
innovacion senologica
lactancia
legal
libros senologicos
linfedema
mamografía
mastectomia
mastodinia
medicina nuclear
metastasis
noticias senologicas
oncologia radioterapica
oncología
patologias mamarias
piel mamaria
presentaciones slider
prevencion cancer de mama
psicologia
publicaciones en congresos
quimioterapia
radiodiagnostico
reconstruccion mamaria
senologia gg
senología en Atención Primaria
sociedad y senologia
sujetadores
tabaquismo
triple negativo
unidad de mama
videos senologicos
ácido hialurónico
Contribuyentes
Servicios de Atención Médica Integral XXI SL
senologia gg
Certificado de Calidad
Web de Interés Sanitario
Cetificación WIS
Certificación WMA
WEB acreditada por M21
sello de calidad
Enciclopedia de Senología GG (ESGG)
Marca Registrada ®
No hay comentarios:
Publicar un comentario